|
1.
SM
Home Page
2.
SM Primer Page
3.
SM MRI Comp Page
4.
CM (Chiari Malformation) Comp Page
4. CM (Chiari Malformation) Page
(Please see Primer page before looking at this page.)
Please note that although there can be SM whenever there is any
malformation
whatsoever, after studying these MRIs there is no doubt that the
more severe
the malformation is the more likely SM is to be present.

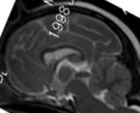
L-about
3 years old R-about 8 years old
No symptoms of SM
Little to no malformation
Little to no herniation of cerebellum
Cerebellums quite full with almost no
pinching/squashing
Medulla almost normal
No syrinxes present
********************

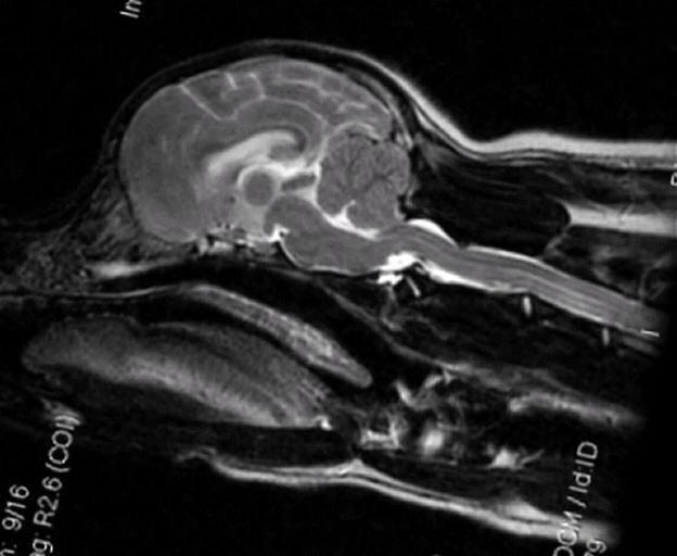
3 years old
No symptoms of SM
Mildest possible form of malformation, if
any
Very mild herniation of cerebellum
Cerebellum about as full as a Cavalier's
gets
Medulla almost normal
No syrinxes present
Note this dog had another MRI at 14 years of age due to a
stroke.
He had zero SM and all else looked the same.

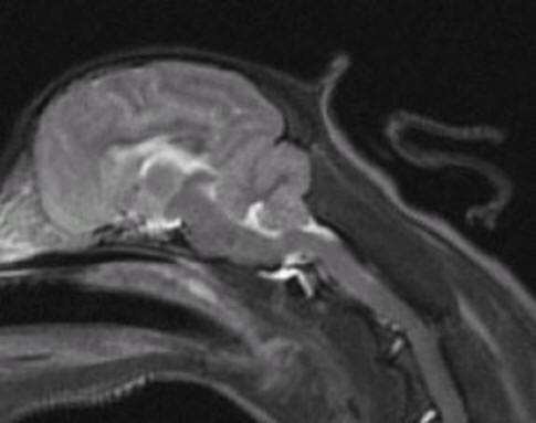
8 years old
No symptoms of SM whatsoever
Very mild malformation, slight
squashing/pinching of cerebellum
No herniation
Medulla almost normal
Very slight dilatation of central canal
in one tiny area

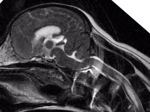
3 years old
No symptoms of SM
Mild malformation, slight
squashing/pinching of cerebellum
Probable mild dilatation of the central
canal
Medulla kinked/squashed
You can also see the vertebrae. They are the white lines that look almost like pointers
underneath the spinal cord. Three are visible.
One (C1) is below the cerebellum where
the spinal cord begins
The other two are further back--C2 and C3

6 years old
No symptoms of SM
Mild malformation, just slightly
compressed cerebellum
Medulla kinked/squashed
No syrinxes present

1.5 years old
No symptoms of SM
Mild to Moderate Malformation, cerebellum
moderately squashed
Herniation of cerebellum
Medulla squashed/kinked
No syrinxes

Age Unknown
No symptoms of SM
Mild to Moderate Malformation, cerebellum
moderately squashed
Herniation of cerebellum
Medulla squashed/kinked
No syrinxes

Age Unknown
No symptoms of SM
Moderate Malformation, cerebellum
moderately squashed
Herniation of cerebellum
Medulla squashed/kinked
No syrinxes

3 years old
No symptoms of SM
Mild hydrocephalus
Moderate Malformation, cerebellum
moderately squashed
Very slight herniation of cerebellum
Medulla squashed/kinked
No syrinxes
********************

Age Unknown
No symptoms whatsoever
Moderate malformation, moderate
squashing/pinching of cerebellum
Mild Herniation of cerebellum
Medulla kinked/squashed
Narrow syrinx starting at C2

Age Unknown
No symptoms whatsoever
Mild to Moderate Malformation, mild to
moderate squashing/pinching of cerebellum
Herniation of cerebellum
Medulla quite kinked/squashed
One moderate sized syrinx starting at C2
and one small syrinx
********************

1.5 years old
Symptoms: Scoliosis, head tilt,
scratching, right front paw/leg very weak
Mild malformation, mild
squashing/pinching of cerebellum
Herniation of cerebellum
Medulla kinked/squashed
Syrinx beginning near brain (before C2)
and continuing all the way back
Mild hydrocephalus

Age Unknown
Some mild symptoms of SM including
scratching
Moderate malformation/squashing of
cerebellum
Herniation of cerebellum
Medulla kinked/squashed
Large syrinx starting just before C2
Mild hydrocephalus

2 years old
Had SM symptoms and has since had surgery
Moderate malformation/squashing of
cerebellum
Herniation of cerebellum
Medulla kinked/squashed
Large syrinx starting just beyond C1

Age Unknown
Moderate malformation/squashing of
cerebellum
Herniation of cerebellum
Medulla kinked/squashed
Syrinxes the entire length of the spinal
cord, some very large

7 years old
Mild weakness in one leg that could be
due to SM
Moderate to severe malformation/squashing
of cerebellum
Slight herniation of cerebellum
Medulla kinked/squashed
Syrinx beginning near brain (before C2)
and continuing all the way back

Age Unknown
Symptoms Unknown
Severe Malformation, severe squashing of cerebellum
Mild herniation of cerebellum
Medulla quite kinked/squashed
One small syrinx by C1, starting before C2, huge syrinx that
continues all the way back
Mild hydrocephalus

3 years old
Symptoms of SM started at 3 years of age
Severe malformation, severe
squashing/pinching of cerebellum
Medulla quite kinked/squashed
Several syrinxes, some quite large,
beginning after C2 vertebrae
Moderate Hydrocephalus
|